Osteoporosis

Osteoporosis

Fact:

Osteoporosis is derived from the Greek words for bone (ostoun), and pore (poros). It is common in older people, especially women.

Bones are constantly being broken down by osteoclasts and built up by osteoblasts. When the process of breakdown and deposition are evenly matched bone mass is maintained. However, when there is a shortage of calcium in the body or when a bone is inactive (e.g leg in plaster or immobilised), calcium is withdrawn from the bone for use in other parts of the body. This results in an increased breakdown of bone tissue without an increase in deposit of new bone by osteoblasts. Excessive breakdown without new bone deposition results in the development of holes/pores in the bone (hence the name of the disease). A decrease in bone density makes the bone weak and prone to fractures. The most typical fractures are of the spine, wrist and hip.

Fact:

Osteoporosis is common in older women whose oestrogen levels drop after menopause. Oestrogen usually suppresses osteoclast activity (bone resorption). When oestogen levels drop, the activity of osteoclasts is no longer inhibited and bone breakdown exceeds bone formation. This results in an overall loss of bone mass.

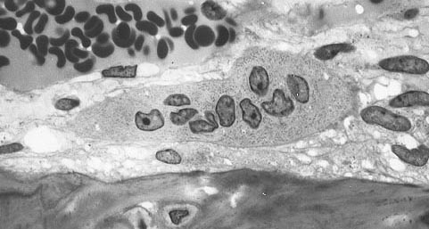
Bone marrow derived cells with bone below it showing the typical distinguishing characteristics of the osteoporosis cells: large cells with multiple nuclei and a `foamy' cytosol.

Pictures illustrating the onset of osteoporosis.

This lesson is part of:

Animal Systems

View Full Tutorial

Track Your Learning Progress

Sign in to unlock unlimited practice exams, tutorial practice quizzes, personalized weak area practice, AI study assistance with Lexi, and detailed performance analytics.