Pancreas

Pancreas

The pancreas, illustrated in the figure below, is an elongated organ that is located between the stomach and the proximal portion of the small intestine. It contains both exocrine cells that excrete digestive enzymes and endocrine cells that release hormones. It is sometimes referred to as a heterocrine gland because it has both endocrine and exocrine functions.

The pancreas is a grainy, teardrop-shaped organ tucked between the stomach and intestine.

The pancreas is found underneath the stomach and points toward the spleen. (credit: modification of work by NCI)

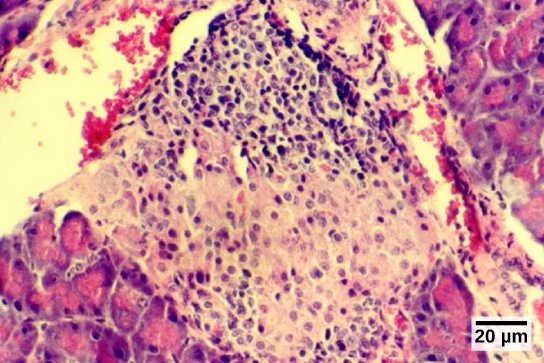
The endocrine cells of the pancreas form clusters called pancreatic islets or the islets of Langerhans, as visible in the micrograph shown in the figure below. The pancreatic islets contain two primary cell types: alpha cells, which produce the hormone glucagon, and beta cells, which produce the hormone insulin. These hormones regulate blood glucose levels. As blood glucose levels decline, alpha cells release glucagon to raise the blood glucose levels by increasing rates of glycogen breakdown and glucose release by the liver. When blood glucose levels rise, such as after a meal, beta cells release insulin to lower blood glucose levels by increasing the rate of glucose uptake in most body cells, and by increasing glycogen synthesis in skeletal muscles and the liver. Together, glucagon and insulin regulate blood glucose levels.

Micrograph shows purple-stained cells in a white tissue. The white tissue is surrounded by tissue that stains pink.

The islets of Langerhans are clusters of endocrine cells found in the pancreas; they stain lighter than surrounding cells. (credit: modification of work by Muhammad T. Tabiin, Christopher P. White, Grant Morahan, and Bernard E. Tuch; scale-bar data from Matt Russell)

This lesson is part of:

The Endocrine System

View Full Tutorial

Track Your Learning Progress

Sign in to unlock unlimited practice exams, tutorial practice quizzes, personalized weak area practice, AI study assistance with Lexi, and detailed performance analytics.