Calculating Magnification

Microscopes magnify an image by use of lens found in the eye-piece, which is also known as the ocular lens. The image is further magnified by the objective lens. Thus the magnification of a microscope is: magnification power of the eye-piece multiplied by the ...

Calculating Magnification

Microscopes magnify an image by use of lens found in the eye-piece, which is also known as the ocular lens. The image is further magnified by the objective lens. Thus the magnification of a microscope is: magnification power of the eye-piece multiplied by the power of the objective lens.

Example: if the eyepiece magnification is 5X and the objective lens' magnification is 10X, the image of the object viewed under the microscope is 50X bigger than the object:

Calculating the Field of View

When viewing an object through a microscope, the diameter of the circle through which you view the object is known as the field of view.

As the magnification increases, the field of view decreases.

To measure the field of view, use a microscope slide with a tiny ruler printed on it. For example, the size of the field of view shown below under low power magnification is approximately 1 mm.

magnification

Image credit: Siyavula

Once the size of the field of view is known, we can estimate the size of the objects being viewed under the microscope. At 10X magnification, the field of view is 1,0 mm. If the magnification is increased to 100X, what will the new field of view be?

1,0 mm at 10 X magnification

\(x\) mm at 100 X magnification

If magnification is increased 10-fold, the field of view will decrease 10 fold. Thus it will become 0.1 mm. What this means is that at higher magnification, we are able to see objects of smaller and smaller size within our field of view. This is why at higher magnification, the field of view becomes smaller.

At 500X magnification, the field of view of a microscope is 0,05 mm. What will the field of view be at 100X magnification?

Example: Calculating Size of Object From its Microscopic Image

Question

If the measured length of the magnified beetle larva image shown below was 2 centimetres (20 mm), the ocular magnification of the microscope is 5X and you are using an objective lens magnification of 10X, what is the actual length of the larva in millimetres?

beetle larva image

Image credit: Siyavula

Solution

Calculate the total magnification

Use the same formula as above

\(\begin{array}{lcl}
\text{overall magnification} & = & \text{power of eyepiece } × \text{power of objective} \\
& = & 5 × 10 \\
& = & 50 × \text{the original size} \\
\end{array}\)

Now calculate the size of the object

If the image is 50X larger than the object, what is the size of the object? Calculate this by simple proportion given in the formula below.

\(\begin{array}{lcl}
\text{Size} & = & \cfrac{\text{size of image}}{\text{overall magnification}} \\
& = & \cfrac{20\text{ mm}}{50} \\
& = & 0.4\text{ mm} \\
\end{array}\)

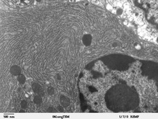
Example: Calculating Actual Size Given of a Structure Given Scale Bar on an Image

Question

Calculate the actual length of AB from the image shown in the micrograph given with the scale bar given below.

micrograph

Image credit: Siyavula

Solution

Measure the length AB shown in the diagram

This should be approximately 20 mm

Work out the length AB

Given that the measured length of the scale bar is approximately 5 mm, work out the length AB:

\(\begin{array}{lcl}
\text{Size} & = & \cfrac{\text{length of AB on diagram}}{\text{measured length of scale bar}} × \text{number on scale bar} \\
& = & \cfrac{20\text{ mm}}{5\text{ mm}} × 200\text{ nm} \\
& = & 800\text{ nm} \\
\end{array}\)

This lesson is part of:

Introducing the Cell

View Full Tutorial

Track Your Learning Progress

Sign in to unlock unlimited practice exams, tutorial practice quizzes, personalized weak area practice, AI study assistance with Lexi, and detailed performance analytics.