Nucleus

The nucleus is the largest organelle in the cell and contains all the cell's genetic information in the from of DNA. The presence of a nucleus is the primary factor that distinguishes eukaryotes from prokaryotes. The structure of the nucleus is described below ...

Nucleus

The nucleus is the largest organelle in the cell and contains all the cell's genetic information in the from of DNA. The presence of a nucleus is the primary factor that distinguishes eukaryotes from prokaryotes. The structure of the nucleus is described below:

Nuclear envelope

Two lipid membranes that are studded with special proteins that separates the nucleus and its contents from the cytoplasm.

Nuclear pores

Tiny holes called nuclear pores are found in the nuclear envelope and help to regulate the exchange of materials (such as RNA and proteins) between the nucleus and the cytoplasm.

Chromatin

Thin long strands of DNA and protein.

Nucleolus

The nucleolus makes RNA another type of nucleic acid.

Fact:

During cell division, DNA contracts and folds to form distinct structures called chromosomes. The chromosomes are formed at the start of cell division.

Fact:

The genetic material of eukaryotic organisms is separated from the cytoplasm by a membrane whereas the genetic material of prokaryotic organisms (like bacteria) is in direct contact with the cytoplasm.

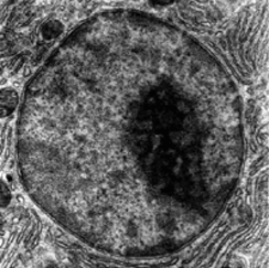
Schematic Diagram Micrograph
nucleus-schematic-diagram
nucleus-micrograph

Fact:

Mitochondria also contain DNA, called mitochondrial DNA, (mtDNA) but it makes up just a small percentage of the cell's overall DNA content. All mitochondrial DNA in humans is derived from the mother's side.

Functions of the Nucleus

  • The main function of the cell nucleus is to control gene expression and facilitate the replication of DNA during the cell cycle (which you will learn about in the next chapter).
  • The nucleus controls the metabolic functions of the cell by producing mRNA which encodes for enzymes e.g. insulin.
  • The nucleus controls the structure of the cell by transcribing DNA which encodes for structural proteins such as actin and keratin.
  • The nucleus is the site of ribosomal RNA (rRNA) synthesis, which is important for the construction of ribosomes. Ribosomes are the site of protein translation (synthesis of proteins from amino acids).
  • Characteristics are transmitted from parent to offspring through genetic material contained in the nucleus.

This lesson is part of:

Introducing the Cell

View Full Tutorial

Track Your Learning Progress

Sign in to unlock unlimited practice exams, tutorial practice quizzes, personalized weak area practice, AI study assistance with Lexi, and detailed performance analytics.