Connective Tissue

Connective tissue is a biological tissue that is important in supporting, connecting or separating different types of tissues and organs in the body. All connective tissue is made up of cells, fibres (such as collagen) and extracellular matrix. There are different ...

Connective Tissue

Connective tissue is a biological tissue that is important in supporting, connecting or separating different types of tissues and organs in the body. All connective tissue is made up of cells, fibres (such as collagen) and extracellular matrix. There are different types of connective tissues with different functions. The following table lists the different types of connective tissue.

Connective tissue type Structure Function Location Diagram/Photo
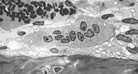
Areolar (loose connective) jelly matrix; has network of elastic fibres which attach together holds the organs in place, cushions and protects organs (acts as a packing material) surrounds blood vessels and nerves ad found in the mesentry which surrounds the intestine
Image

Loose connective tissue.

White fibrous consists of non-elastic fibres acts as a shock absorber, transfers or absorbs forces in tendons, ligaments and many tough membrane sheaths that surround organs
Image

White fibrous tissue.

Cartilage rubbery matrix, can be flexible or rigid gives structure, shape and strength; reduces friction; provides support joints, nose, sternum, trachea
Image

Cartilage.

Bone tissue made up of collagen fibres; mineralised with calcium and phosphates to make it solid provides strength and support; creates red blood cells and white blood cells; bones found all over the body
Image

Osteoclast, a type of bone tissue.

This lesson is part of:

Plant and Animal Tissues

View Full Tutorial

Track Your Learning Progress

Sign in to unlock unlimited practice exams, tutorial practice quizzes, personalized weak area practice, AI study assistance with Lexi, and detailed performance analytics.