Epithelial Tissue

Epithelial tissues are formed by cells that cover surfaces (e.g. skin) and line tubes and cavities (e.g. digestive organs, blood vessels, kidney tubules and airways). Epithelial tissue usually consists of a single cell layer of cells, however in certain cases there may ...

Epithelial Tissue

Epithelial tissues are formed by cells that cover surfaces (e.g. skin) and line tubes and cavities (e.g. digestive organs, blood vessels, kidney tubules and airways). Epithelial tissue usually consists of a single cell layer of cells, however in certain cases there may be more than one layer. All epithelial tissues are free surfaces attached to the underlying layers of a basement membrane.

There are different types of epithelial tissue which are named according to the number of layers they form and the shape of the individual cells that make up those layers. Simple epithelium refers to a single layer of cells. Stratified epithelium refers to two or more layers of cells. Squamous epithelium refers to flattened cells, cuboidal epithelium refers to cells that are cube-shaped and columnar epithelium refers to vertically elongated cells. Ciliated epithelium refers to epithelial cells that contain many tiny hair-like projections.

Fact:

Pseudostratified epithelium refers to epithelium consisting of one layer but looking as though it consists of more than one layer.

Image

The different types of epithelial tissue found in mammals.

General Functions of Epithelial Tissue

  • Provides a barrier between the external environment and the organ it covers.
  • Specialised to function in secretion and absorption.
  • Protects organisms from microorganisms, injury, and fluid loss.
  • Excretes waste products such as sweat from the skin.

Fact:

The skin is the largest human organ.

The different types of epithelial tissue are classified according to their shape. The major categories we are going to examine are squamous, columnar and cuboidal epithelium. The table presents each of them in detail.

Epithelial tissue type Location in body Structure Function
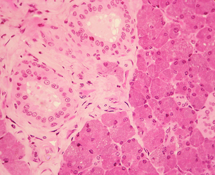
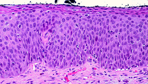
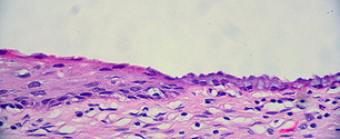
Simple squamous and stratified squamous Simple: capillaries, alveoli (in lungs); stratified: skin Thin and flat cells that are elliptically shaped and lie on basement membrane. Simple squamous epithelium is one-cell thick. Stratified squamous epithelium consists on many layers. Responsible for diffusion. Thin structure allows for movement of substances across the cells.
Epithelial tissue type Diagram Microscopic image
Simple squamous and stratified squamous Image Image
Epithelial tissue type Location in body Structure Function
Cuboidal Kidney tubules or glands (regions of the body responsible for excretion). Cube-like in structure; may occasionally have structures called microvilli on surface to aid absorption. Serve a protective function against bacteria and the wearing away of certain organs by lining various structures. Also prevent water loss.
Epithelial tissue type Diagram Microscopic image
Cuboidal Image Image
Epithelial tissue type Location in body Structure Function
Columnar Digestive tract, reproductive organs Elongated cells, nuclei located at the base of the cell. Cells connected by tight junctions and receive their nutrients from the basement membrane. Main function is protective. Prevents against bacterial infection. Can also secrete mucus to protect surface from damage.
Epithelial tissue type Diagram Microscopic image
Columnar Image Image

This lesson is part of:

Plant and Animal Tissues

View Full Tutorial

Track Your Learning Progress

Sign in to unlock unlimited practice exams, tutorial practice quizzes, personalized weak area practice, AI study assistance with Lexi, and detailed performance analytics.