Transport of Oxygen in the Blood

Once the oxygen diffuses across the alveoli, it enters the bloodstream and is transported to the tissues where it is unloaded, and carbon dioxide diffuses out of the blood and into the alveoli to be expelled from the body. Although gas exchange is a continuous process, the oxygen and carbon dioxide are transported by different mechanisms.

Transport of Oxygen in the Blood

Although oxygen dissolves in blood, only a small amount of oxygen is transported this way. Only 1.5 percent of oxygen in the blood is dissolved directly into the blood itself. Most oxygen—98.5 percent—is bound to a protein called hemoglobin and carried to the tissues.

Hemoglobin

Hemoglobin, or Hb, is a protein molecule found in red blood cells (erythrocytes) made of four subunits: two alpha subunits and two beta subunits (see the figure below). Each subunit surrounds a central heme group that contains iron and binds one oxygen molecule, allowing each hemoglobin molecule to bind four oxygen molecules. Molecules with more oxygen bound to the heme groups are brighter red. As a result, oxygenated arterial blood where the Hb is carrying four oxygen molecules is bright red, while venous blood that is deoxygenated is darker red.

Part a shows disc-shaped red blood cells. An arrow points from a red blood cell to the hemoglobin in part b. Hemoglobin is made up of coiled helices. The left, right, bottom, and top parts of the molecule are symmetrical. Four small heme groups are associated with hemoglobin. Oxygen is bound to the heme.

The protein inside (a) red blood cells that carries oxygen to cells and carbon dioxide to the lungs is (b) hemoglobin. Hemoglobin is made up of four symmetrical subunits and four heme groups. Iron associated with the heme binds oxygen. It is the iron in hemoglobin that gives blood its red color.

It is easier to bind a second and third oxygen molecule to Hb than the first molecule. This is because the hemoglobin molecule changes its shape, or conformation, as oxygen binds. The fourth oxygen is then more difficult to bind. The binding of oxygen to hemoglobin can be plotted as a function of the partial pressure of oxygen in the blood (x-axis) versus the relative Hb-oxygen saturation (y-axis). The resulting graph—an oxygen dissociation curve—is sigmoidal, or S-shaped (see the figure below). As the partial pressure of oxygen increases, the hemoglobin becomes increasingly saturated with oxygen.

Art Connection

The graph plots percent oxygen saturation of hemoglobin as a function of oxygen partial pressure. Oxygen saturation increases in an S-shaped curve, from 0 to 100 percent. The curve shifts to the left under conditions of low carbon dioxide, high pH, and low temperature, and to the right in conditions of high carbon dioxide, low pH, or high temperature.

The oxygen dissociation curve demonstrates that, as the partial pressure of oxygen increases, more oxygen binds hemoglobin. However, the affinity of hemoglobin for oxygen may shift to the left or the right depending on environmental conditions.

The kidneys are responsible for removing excess H+ ions from the blood. If the kidneys fail, what would happen to blood pH and to hemoglobin affinity for oxygen?

Answer

The blood pH will drop and hemoglobin affinity for oxygen will decrease.

Factors That Affect Oxygen Binding

The oxygen-carrying capacity of hemoglobin determines how much oxygen is carried in the blood. In addition to \({\text{P}}_{{\text{O}}_{\text{2}}}\), other environmental factors and diseases can affect oxygen carrying capacity and delivery.

Carbon dioxide levels, blood pH, and body temperature affect oxygen-carrying capacity (see the figure above). When carbon dioxide is in the blood, it reacts with water to form bicarbonate \({\text{(HCO}}_{\text{3}}^{-}\text{)}\) and hydrogen ions (H+). As the level of carbon dioxide in the blood increases, more H+ is produced and the pH decreases. This increase in carbon dioxide and subsequent decrease in pH reduce the affinity of hemoglobin for oxygen. The oxygen dissociates from the Hb molecule, shifting the oxygen dissociation curve to the right. Therefore, more oxygen is needed to reach the same hemoglobin saturation level as when the pH was higher. A similar shift in the curve also results from an increase in body temperature. Increased temperature, such as from increased activity of skeletal muscle, causes the affinity of hemoglobin for oxygen to be reduced.

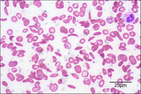
Diseases like sickle cell anemia and thalassemia decrease the blood’s ability to deliver oxygen to tissues and its oxygen-carrying capacity. In sickle cell anemia, the shape of the red blood cell is crescent-shaped, elongated, and stiffened, reducing its ability to deliver oxygen (see the figure below). In this form, red blood cells cannot pass through the capillaries. This is painful when it occurs. Thalassemia is a rare genetic disease caused by a defect in either the alpha or the beta subunit of Hb. Patients with thalassemia produce a high number of red blood cells, but these cells have lower-than-normal levels of hemoglobin. Therefore, the oxygen-carrying capacity is diminished.

The micrograph shows a smear of red blood cells, some are disc-shaped and compressed in the center, whereas some are crescent-shaped. Each red blood cell is about five microns across.

Individuals with sickle cell anemia have crescent-shaped red blood cells. (credit: modification of work by Ed Uthman; scale-bar data from Matt Russell)

This lesson is part of:

The Respiratory System

View Full Tutorial

Track Your Learning Progress

Sign in to unlock unlimited practice exams, tutorial practice quizzes, personalized weak area practice, AI study assistance with Lexi, and detailed performance analytics.