Human Pathogens

Human Pathogens

A pathogen is anything that causes disease. Parasites live in or on an organism and harm the organism. A significant number of protists are pathogenic parasites that must infect other organisms to survive and propagate. Protist parasites include the causative agents of malaria, African sleeping sickness, and waterborne gastroenteritis in humans. Other protist pathogens prey on plants, effecting massive destruction of food crops.

Plasmodium Species

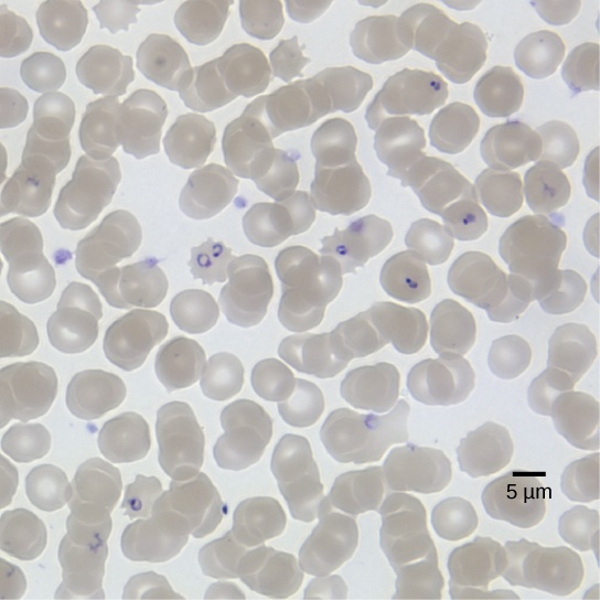
Members of the genus Plasmodium must colonize both a mosquito and a vertebrate to complete their life cycle. In vertebrates, the parasite develops in liver cells and goes on to infect red blood cells, bursting from and destroying the blood cells with each asexual replication cycle (see the figure below). Of the four Plasmodium species known to infect humans, P. falciparum accounts for 50 percent of all malaria cases and is the primary cause of disease-related fatalities in tropical regions of the world. In 2010, it was estimated that malaria caused between one-half and one million deaths, mostly in African children.

During the course of malaria, P. falciparum can infect and destroy more than one-half of a human’s circulating blood cells, leading to severe anemia. In response to waste products released as the parasites burst from infected blood cells, the host immune system mounts a massive inflammatory response with episodes of delirium-inducing fever as parasites lyse red blood cells, spilling parasite waste into the bloodstream. P. falciparum is transmitted to humans by the African malaria mosquito, Anopheles gambiae. Techniques to kill, sterilize, or avoid exposure to this highly aggressive mosquito species are crucial to malaria control.

The micrograph shows round red blood cells, each about 8 microns across, infected with ring-shaped P falciparum.

Red blood cells are shown to be infected with P. falciparum, the causative agent of malaria. In this light microscopic image taken using a 100× oil immersion lens, the ring-shaped P. falciparum stains purple. (credit: modification of work by Michael Zahniser; scale-bar data from Matt Russell)

Resource:

This movie depicts the pathogenesis of Plasmodium falciparum, the causative agent of malaria.

Trypanosomes

Trypanosoma brucei, the parasite that is responsible for African sleeping sickness, confounds the human immune system by changing its thick layer of surface glycoproteins with each infectious cycle (see the figure below). The glycoproteins are identified by the immune system as foreign antigens, and a specific antibody defense is mounted against the parasite. However, T. brucei has thousands of possible antigens, and with each subsequent generation, the protist switches to a glycoprotein coating with a different molecular structure. In this way, T. brucei is capable of replicating continuously without the immune system ever succeeding in clearing the parasite. Without treatment, T. brucei crosses the blood-brain barrier and infects the central nervous system, causing the patient to lapse into a coma and eventually die. During epidemic periods, mortality from the disease can be high. Greater surveillance and control measures lead to a reduction in reported cases; some of the lowest numbers reported in 50 years (fewer than 10,000 cases in all of sub-Saharan Africa) have happened since 2009.

Resource:

This movie discusses the pathogenesis of Trypanosoma brucei, the causative agent of African sleeping sickness.

In Latin America, another species, T. cruzi, is responsible for Chagas disease. T. cruzi infections are mainly caused by a blood-sucking bug. The parasite inhabits heart and digestive system tissues in the chronic phase of infection, leading to malnutrition and heart failure due to abnormal heart rhythms. An estimated 10 million people are infected with Chagas disease, and it caused 10,000 deaths in 2008.

The micrograph shows round red blood cells, about 8 microns across. Swimming among the red blood cells are ribbon-like trypanosomes. The trypanosomes are about three times as long as the red blood cells are wide.

Trypanosomes are shown among red blood cells. (credit: modification of work by Dr. Myron G. Shultz; scale-bar data from Matt Russell)

This lesson is part of:

Protists

View Full Tutorial

Track Your Learning Progress

Sign in to unlock unlimited practice exams, tutorial practice quizzes, personalized weak area practice, AI study assistance with Lexi, and detailed performance analytics.